İmplant diş tedavisine başlamadan önce hastaya dişlerin tedavisinin nasıl olacağı anlatılmalıdır. İmplant diş tedavisi tamamlandığında nasıl görüneceği hastaya çeşitli görüntülerle anlatılmalıdır. Tedavi öncesi planlama tamamlandıktan sonra, implantların yerleştirilmesi için cerrahi gerçekleştirilebilir.
İmplant tedavisinde implantların yerleştirilmesi iki yöntemle yapılabilmektedir.
Birinci yöntem: Dişin çekilmesinden sonra beklenmeden implantların yerleştirilmesidir.
İkinci yöntem: Dişin çekilmesinin ardından 1 ve 3 ay arasında bekleme süresinden sonra implantın dişe yerleştirilmesidir. bekleme süresinin amacı implantın kemik ile kaynamasını sağlamaktır.
İmplant diş tedavisi başlarken, ilk önce hastanın ağız hijyeni yapılmalıdır. İmplant tedavisi en temelde iki aşamadan oluşur. İmplant tedavisi ilk aşamasında, implantın çene kemiğine yerleştirilmesidir. Bu cerrahi bir müdahaledir. İmplantlar dokuyla birebir uyumlu olan titanyumdan üretilir. Titanyum implantlar çeneye yerleştirildikten sonra, kemikle kaynaşması beklenir. Bekleme süreci herkeste farklılıklar gösterse de 1- 3 ay arasında olabilir. Bu bekleme süresi bittikten sonra kemikleşme gerçekleştiğinde ikinci aşamaya geçilir. İkinci aşamada implantın üzerine uygulanacak olan üst kaplamalar yapılır.Bu kaplamalar titanyum implantın üstüne yapılan porselen ya da zirkonyum diş kaplamasından üretilen dişlerdir. Önce implantın üzerine yapıştırma ya da vidalama tekniğiyle prova yapılır. Hastaya prova yapılmasının ardından implantlar dişe tam uyumluysa tedavi tamamlanır.

İmplant Diş Tedavi Aşamaları
İlk Muayene
Hastaya yapılması gereken ilk muayenede, kişinin diş yapısının implant yaptırmaya uygunluğunu belirlemek gerekir. İmplant tedavisinin uygulanamayacağı hastalar;
Çok sigara içen kişiler:
Sigara tüketimi, ağız içerisindeki dokularda üreyen bakteri plağına uygun ortamı hazırlar. Bu sebeple de enfeksiyon riskini arttırır. Bunun dışında sigara karbonmonoksit ve toksit içerikleri sebebiyle implantın kemikle kaynamasını kötü etkiler. Yaraların iyileşmesini geciktirir. Çok sigara içen kişilerin sigara kullanımını azaltmaları ya da tamamen bırakmaları durumunda implant tedavisi yapılabilir. İmplant tedavisinden önceki 15 gün ve tedaviden sonra 1 ay süresince sigara kullanımı yasaktır.
Şeker hastaları :
Şeker hastaları da implant tedavisi için uygun olmayabilir. Kontrol edilemeyen şeker hastalığı olan kişilerde, implant tedavisi risklidir. Şeker hastalığı olanlarda doku iyileşmesi geç olur. Enfeksiyon riski de daha fazladır.
Ancak kandaki şeker oranları kontrol altında tutulabilen kişilerde, implant tedavisi yapılabilir. Diyabetik olan kişiler için cerrahi operasyon oldukça minimum düzeyde yapılmaya çalışılır. İmplant tedavisi ardından özellikle şeker hastalarının ağız hijyenlerini ihmal etmemeleri gerekir. Bunun dışında düzenli aralıklarla hekimlerine kontrole gitmeleri de gerekmektedir.
Kalp hastası olanlar:
Kalp hastası olan kişiler, implant tedavisi yaptırmak için önce doktoru ile görüşmeye gitmelidir. Aksi halde tedavinin uygulanması mümkün değildir.
Yüksen tansiyon hastaları :
Yüksek tansiyonu olan yani hipertansiyon sorunu olan hastalarda ağrı, stres gibi durumlarda aşırı tepki meydana gelir. Uyaranlara karşı verilen cevap aşırı olduğu için diş tedavisi esnasında kan basıncının akut olarak yükselmesinden söz edilebilir. Kalp yetmezliği ya da ender olarak felç, kanama gibi istenmeyen durumlar meydana gelebilir. Bunlardan dolayı da hipertansiyonu olan kişilerin tedaviye başlamadan önce, kan basınçlarını ölçtürmeleri gerekir.
Kan pıhtılaşma sorunları:
Kan pıhtılaşma sorunu olan hastalara implant tedavisi yapmak mümkün değildir
- 1 Çene kemiğinin durumu ve uygunluk
İmplant diş tedavisi ikinci aşamasında kişinin genel muayenesi yapılmaktadır. Panoramik röntgen çekilip çene kemiğinin ne durumda olduğuna bakılır. İmplantın uygulanacağı alandaki kemik yoğunluğu araştırılır. Kemik yoğunluğu implant tedavisi için uygun değilse, kemik grefti uygulanır. Bu işlemle bu bölgenin kemikleşmesi için beklenir.
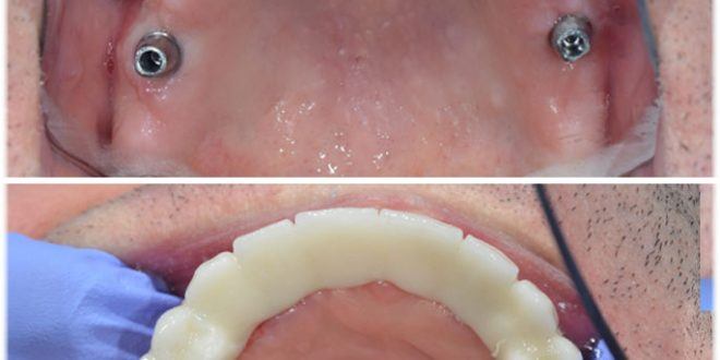
- 2 İmplantın uygulanması
İmplantların takılma süresi yaklaşık 30 dakika sürmektedir. İlk olarak dişetinde bir kesi açılır ve kemiğe ulaşılır. İmplant ölçümlerine göre çene kemiğinde delik açılır. İmplant oraya vidalanır. Üstteki kaplamaların yapılabilmesi için implantın çene kemiği ile kaynaşması için 1-3 ay gibi bir süre beklenir.
- 3 Protezlerin hazırlanması
İmplantların uygulanması ve kemikle bütünleşmesi aşamalarından sonraki aşama protezlerin hazırlanmasıdır. Ağız içinden ölçü alınıp renklere karar verilir. Ardından teknisyen tarafından protez porselen laboratuvarlarında hastanın gerçek dişlerine uygun ve estetik bir şekilde bu protezler hazırlanır. Önce hazırlanan bu protezler ağızda denenir. Ardından son rötuşlar yapılır.
- 4 Üst Yapıların takılması
Son aşamada titanyumdan üretilmiş ve kemiğe kaynamış implantların üstüne, kuron adı verilen porselen ya da zirkonyumdan üretilmiş kaplamalar takılır. Bu kaplamalar laboratuvarda hazırlanır. Kişinin ağzından alınan ölçülere göre hazırlanmış ol an bu kuronlar ya da protezler, implant üzerine ya vidalanma yöntemiyle ya da yapıştırma yöntemi ile yerleştirilir. Ardından hekim, hastasına son olarak neleri yapıp neleri yapmayacağını anlatır ve tedavi tamamlanır.
İmplant Diş Merkezi İstanbul Küçükçekmece İmplant ve Estetik Dişhekimliği 